What Causes Tooth Pain? Common Reasons and Warning Signs

What Causes Tooth Pain Common Reasons and Warning Signs

Tooth pain can be hard to ignore. It may start as mild discomfort and turn into ongoing dental pain that affects eating, sleeping, or focusing during the day. Many patients search for tooth pain causes because they want answers and relief. Understanding what causes tooth pain can help you act early, protect your teeth and gums, and avoid complications that may develop if a problem is left untreated.

What Causes Tooth Pain?

Tooth pain often begins when nerves inside the tooth or nearby gum tissue become irritated. This irritation may result from wear, damage, or a bacterial infection. As the affected area worsens, pain can increase and last longer. Below are the most common causes of tooth pain patients experience.

Common Causes of Tooth Pain

Understanding these common causes can help you recognize early warning signs and know when to seek dental care.

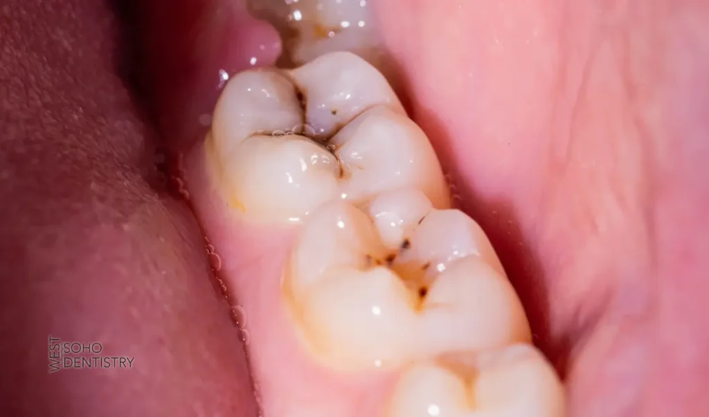
Tooth Decay Pain

Tooth Decay Pain

Tooth decay pain develops when plaque bacteria weaken enamel. As decay spreads deeper, sensitive areas react to sweets, heat, or cold. If not addressed, discomfort may become more frequent and noticeable.

Tooth Cavity Pain

Tooth Cavity Pain

A cavity forms when decay creates a hole in the tooth. Tooth cavity pain often feels sharp when chewing. Food trapped in the opening may also cause irritation or a bad taste.

Tooth Infection Pain

When bacteria reach the inner portion of the tooth, tooth infection pain can develop. This discomfort may feel like pressure or soreness and sometimes includes swelling. In certain cases, root canals may be recommended to protect the tooth.

Abscess Tooth Pain

Abscess Tooth Pain

A tooth abscess occurs when infection creates a pocket of pus near the tooth. Abscess tooth pain is often intense and may include swelling, ongoing discomfort, or bad breath. An abscessed tooth should be evaluated promptly to avoid further damage.

Gum Pain by Tooth

Gum pain by tooth usually affects the gum tissue around a single tooth. It may occur when food becomes trapped, brushing is too aggressive, or mild irritation develops.

Gum Disease and Tooth Pain

Gum Disease and Tooth Pain

Gum disease and tooth pain are closely linked. Plaque buildup can inflame the gums, leading to tenderness and gum recession. Over time, this may contribute to loose tooth pain and affect the health of the surrounding bone.

Loose Tooth Pain

Loose Tooth Pain

Adult teeth should feel stable. Loose tooth pain may result from gum disease, injury, or long-term pressure. It often causes discomfort while chewing and should be checked by a dental professional.

Cold and Tooth Pain

Cold and tooth pain occur when enamel wears down or sensitive areas become exposed. A sudden reaction to cold foods may be a sign of sensitive teeth or early decay.

Hole in Tooth Pain

Hole in Tooth Pain

A visible hole often indicates advanced decay or damage. Hole in tooth pain allows bacteria to reach deeper layers of the tooth, increasing the risk of infection.

Sinus Infection and Dental Pain

A sinus infection or even a cold can place pressure on the upper teeth. This pressure may feel like dental pain even when the teeth themselves are healthy.

Dry Mouth

Dry mouth reduces saliva, which helps protect teeth. Without enough moisture, bacteria grow more easily, increasing the risk of decay, irritation, and discomfort.

Tooth Pain Symptoms to Watch For

Common tooth pain symptoms include:

  • Sensitivity to hot, cold, or sweets
  • Pain while chewing
  • Swelling in the affected area
  • Tender or irritated gums
  • Ongoing dental pain
  • Persistent bad taste or bad breath

Simple Ways to Support Dental Health at Home

Daily habits play a key role in prevention. Brushing your teeth regularly and keeping up with good oral hygiene helps reduce plaque and protect your teeth and gums. Staying hydrated supports saliva flow and helps prevent dry mouth. These habits support overall dental care and long-term oral health.

Why Tooth Pain Shouldn’t Be Ignored

When tooth pain is left untreated, small problems can grow into more serious ones. Decay can spread, gum disease may worsen, and teeth can weaken over the long term. Early attention helps protect your smile and reduce the risk of complications.

Treatment Options

Treatment depends on the cause of the discomfort. A dentist may recommend:

  • Fillings for cavities
  • Deep cleaning for gum concerns
  • Root canals for infected teeth
  • Care for damaged or weakened teeth


Your dental professional will explain appropriate options during your visit.

When to Visit a Dentist

You should visit your dentist if tooth pain lasts more than a short time, worsens, or interferes with daily activities. Swelling, sensitivity, or gum discomfort are signs it’s time to seek professional care and proper pain relief.

Conclusion

Understanding the causes of tooth pain helps you respond early and protect your oral health. Whether discomfort comes from decay, gum irritation, sensitivity, or infection, prompt care can help prevent long-term damage. Maintaining healthy habits and regular dental visits supports strong teeth and gums.

Get Trusted Care for Tooth Pain

If you’re experiencing tooth pain or ongoing discomfort, don’t wait to seek care. A trusted dental professional can help identify the cause and restore your comfort with gentle, effective treatment.

Call West Soho Dentistry at 212-645-2808 to schedule an appointment and receive professional dental care focused on protecting your smile and supporting your long-term oral health.

Fill in your name, phone, and email to continue to our online appointment scheduler.